Overview

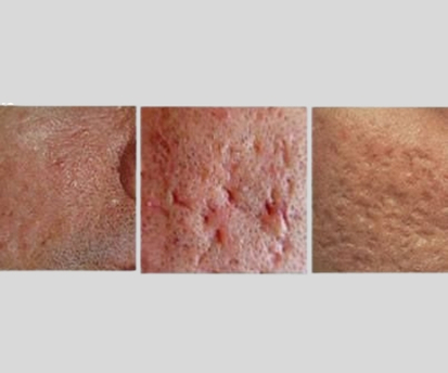
Acne scars are permanent textural changes, pits and indentations that occur on the skin as a result of severe acne. When acne breakouts penetrate the skin deeply, they damage the skin and the tissue beneath it. As the acne clears, the body tries to repair this damage. During the healing process, the body produces collagen—a substance that gives the skin support. If the body produces too little or too much collagen, you will see an atrophic scar.

Types of acne scars :

• Icepick scar
• Box scar
• Rolling scar

Causes

    Inflammatory acne often results in acne cysts and nodules. This type of acne tends to penetrate deep into the skin, which damages the skin
    The longer a person has inflammatory acne, the greater the risk of scarring.
    If one Picks, squeezes, or pops acne. This increases inflammation, which increases the risk of scarring
    Genes play a large role

how we treat it


At your initial consultation, Dr Uzma will discuss the best treatment option for your needs